ここにある 選ばれる理由が

手術は必ず 多保 学 が担当し
で
理想の口元へ

1998年-2004年日本歯科大学 生命歯学部
2004年-2005年日本歯科大学附属病院 臨床研修医
2006年-2009年日本歯科大学附属病院 歯周病科
2006年-2010年町田市民病院 歯科・口腔外科
2010年-2012年米国ロマリンダ大学インプラント科大学院留学
2012年-2014年千葉県浦安市 栗林歯科医院勤務
2015年 3月3日たぼ歯科医院 開業
医療法人社団 幸誠会 たぼ歯科医院
理事長 多保 学
Manabu Tabo
All-on-4(オールオン4)の手術を担当させていただく医療法人社団 幸誠会 たぼ歯科医院 理事長の多保学です。
歯科医師免許取得後、日本歯科大学附属病院、町田市民病院口腔外科に勤務し、診療や勉強に励みました。日本歯周病学会専門医、日本口腔外科学会専修医を取得後、日本のインプラント教育が未確立であることに疑問を感じ、インプラント先進国であるアメリカで根拠に基づいた治療を学ぶため、初めてインプラント科を作ったロマリンダ大学院へ留学をし知識と技術の研鑽を行いました。ロマリンダ大学院卒業後も、現在では米国ロマリンダ大学の非常勤臨床助手として年に数回渡米し、大学院生への講義や手術サポートなど教育にも携わっております。
所属
- 米国ロマリンダ大学インプラント科 元臨床助教授
- 日本歯科大学附属病院 総合診療科 臨床准教授
資格専門医
- 日本歯周病学会 歯周病専門医・指導医
- 日本口腔外科学会 認定医
- 日本口腔インプラント学会
専門医 - 日本有病者歯科医療学会
専門医・指導医









&
「日本歯周病学会 指導医」
「日本口腔インプラント学会 専門医」
数少ない
を取得
多保学
-
日本歯周病学会 専門医 / 指導医
全国107,443人の歯科医師のうち
306人いる歯周病指導医のひとり -
日本口腔インプラント学会 専門医
全国107,443人の歯科医師のうち
1600人いるインプラント専門医の
ひとり

実績を裏付ける専門性のある
知識・経験で指導
-

アメリカ ロマリンダ大学
元臨床助教授カリフォルニアにあるロマリンダ大学に約3年間留学し、世界水準の歯科医療技術・知識を習得しました。現在は同大学の臨床助教授として、大学院生の指導や、米国の専門医に義務付けられた継続教育による知識のアップデートを定期的に行っています。
-

日本歯科大学附属病院
総合診療科臨床准教授日本歯科大学の附属病院にて総合診療科 臨床准教授として教鞭をとっています。
歯科医療を中心に、医科や関連分野も診療し高度な専門医療と地域医療への貢献に努めています。 -
歯科医師を指導する
現役の歯科医師として
Dental Square Japan
インプラントコース講師歯科インプラント治療の分野で「先生の先生」として、専門技術を指導しています。インプラント技術はもちろん、インプラントに必要な骨の厚みや高さが足りない症例に対し、歯槽骨を再生させる「骨誘導再生法(GBR)」を専門に教えています。この技術を広めるため、全国で精力的に講師活動を行っています。
著書紹介

2008年
医師薬出版
ピンポイントで読むチームのための
有病者歯科治療

2010年
医師薬出版
臨床家のための歯科小手術

2012年
医師薬出版
Current Trends in Implant
therapy at Loma Linda

2013年
インプラントロジー 9月号
Maxillary Sinus Augumentation
at Loma Linda

2014年
クインテッセンス出版
Implant Dentistry Encyclopedia

論文紹介
A Case of Cat Scratch disease associate with swelling of the parotid and cervical lymph nodes Jpn.J.Oral Maxillofac.Surg 54 598-601 2008.
A clinical comparison between anchorless toothbrushes and a conventional anchor toothbrush (Joint paper) J.Jpn.Soc.Periodontol50: 104-111 2008
推薦文
アメリカ
ロマリンダ大学教授からの

たぼ歯科医院の患者さんへ
私は多保学先生と同様の経歴を持ち、古くから彼のことをよく知っています。彼は優秀な口腔外科医であり、歯周病治療専門医です。
多保先生は、米国ロマリンダ大学の高度な教育プログラムを受けており、世界レベルの卓越した歯科技術を持っています。また、彼の人柄の良さもとても印象的でした。
彼は信念を貫くタイプであり、正直で責任感の強い人間です。彼の世界レベルの歯科技術と彼の人間性が融合されれば、長期的な観点から患者さんのことを考えた素晴らしい歯科医療を皆さんに提供してくれることでしょう。
彼の最高レベルの歯科治療に、皆さんは満足するに違いありません。
敬具 D.M.D, M.D, PhD
イストヴァン・アーバン

たぼ歯科医院の患者さんへ
この度は多保学先生を紹介する機会をいただき、大変嬉しく思っています。多保先生は、2012年に米国ロマリンダ大学インプラント科大学院の専門医プログラムを修了しました。
35年間の歴史を持つロマリンダ大学のインプラント歯科プログラムは、徹底した講義および臨床トレーニングに基づき、診断から最終補綴にいたるまで一連のインプラント治療の処置能力を大学院生が習得できるよう構成されています。
多保先生がこのプログラムに参加した理由は、熟達した歯周病ならびに口腔外科の専門医として、患者さんに最高のインプラント治療を提供するためです。
同じ志を持つ同期とともに、外科手技や補綴手技などの特殊なトレーニングが必要だと考えて、このプログラムに参加していました。
そして多保先生はこのプログラムを通して、インプラント治療を必要とする患者さんに最高レベルの治療を提供する技術と知識を養いました。
私は、インプラント科プログラムの責任者の立場から、多保先生をずっと見てきました。彼は非常に熱心な学生でインプラント学の最新のトップレベル技術や知識を維持するために、研究や努力を常に怠りませんでした。また非常に頼りになり、適切な倫理と品格を持っている歯科医師です。
多保先生は、自身が生涯の学習者であるばかりでなく、ロマリンダ大学インプラント科大学院で非常勤助教授として、米国で大学院生に講義することで専門知識を還元しています。
多保先生の最高レベルの治療に、あなたはきっと満足するでしょう。
敬具 ロマリンダ大学教授
ハイミー・ロザーダ

現役歯科医師&指導医として
医院スタッフ育成
を
多保学とスタッフが
チームとして治療

数少ない国の「認定医院」
日本歯周病学会認定研修施設
全国約68,000件の歯科医院がありますが日本歯周病学会専門医研修施設は約200施設、歯周病専門医を育成する施設として環境と実績が国から認めらています。


各分野の
プロフェッショナルによる
チーム医療

患者さんへのご説明、診査・診断、基本治療から外科的治療、歯周組織再生療法、歯列矯正、インプラント、メインテナンスなど高度な技術、知識、経験を必要とする全てにおいて、総合的に高いレベルでの医療の提供が必要となってきます。
そのため、たぼ歯科医院 歯周病治療 専門外来では、歯周病専門医が中心となり、メディカルトリートメントモデルを採用し、各分野のプロフェッショナルとの連携によって理想的な治療からメインテナンスに至る流れを実現しています。

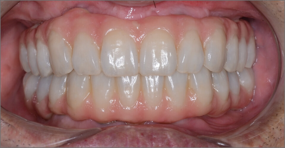
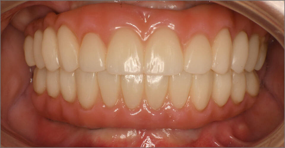
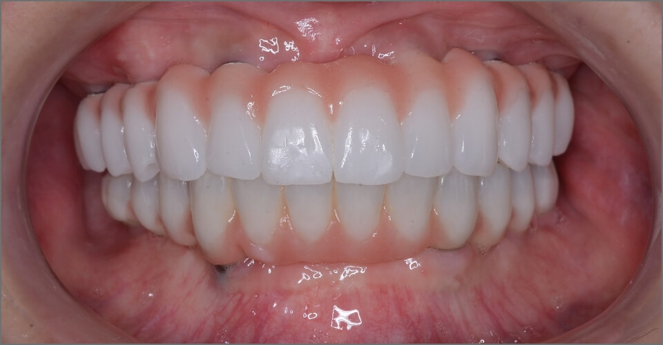
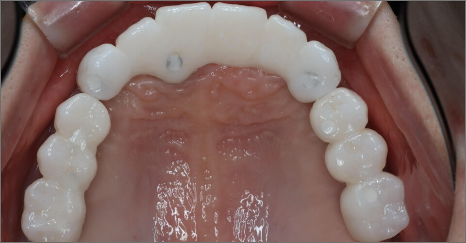
All-on-4(オールオン4)で
理想の口元へ
こんなご要望にお応えします
-


1日で噛める歯にしたい
オールオン4ではしっかりと治療計画を立てることで、最短オペ翌日には仮歯ではなく最終歯を入れることができます。
-


固定式で快適な使用感
取り外しの入れ歯とは異なり、顎にしっかりと固定されるため、食事や会話の際にずれにくく、天然の歯に近い感覚でしっかりと噛むことができます。
-


発音の改善
取り外しの入れ歯のように口蓋(上あご)を覆う部分がないため、舌の動きが自由になり、より自然な発音で会話を楽しめます。
-


顎骨の吸収抑制
顎骨に力を伝えることで、歯が失われた後に進行しがちな顎骨の吸収(痩せ細ること)をある程度抑制する効果が期待できます。
-


口元をキレイに見せたい
治療計画段階で歯だけではなく口元全体のイメージを考え治療を行いキレイな口元を実現します。
All-on-4(オールオン4)
症例紹介
上下顎オールオン4

| 治療内容 | All on 4 |
|---|---|
| 患者様の年齢 | 40代 |
| 患者様の性別 | 男性 |
| 治療期間 | 数ヶ月〜1年以上 |
| 治療 | 8,000,000円 |
| 治療から得られるメリット |
|
| 治療する際に 起こるリスク・ 副作用 |
治療には一定の期間と費用がかかります。 また、手術後には腫れや痛みが生じることがあります。 まれに神経損傷や感染症を引き起こす場合もあります。 インプラント周囲炎の発症や、インプラントの脱落・破損といったリスクも考えられます。 金属アレルギーのある方は注意が必要です。 また、全身疾患をお持ちの方には影響が出る可能性があるため、事前に医師との十分な相談が必要です。 |
詳細はこちら
上下顎オールオン4

| 治療内容 | 全顎インプラント |
|---|---|
| 患者様の年齢 | 40代 |
| 患者様の性別 | 女性 |
| 治療期間 | 3年 |
| 治療 | 10,000,000円 |
| 治療から得られるメリット |
|
| 治療する際に 起こるリスク・ 副作用 |
治療には一定の期間と費用がかかります。 また、手術後には腫れや痛みが生じることがあります。 まれに神経損傷や感染症を引き起こす場合もあります。 インプラント周囲炎の発症や、インプラントの脱落・破損といったリスクも考えられます。 金属アレルギーのある方は注意が必要です。 また、全身疾患をお持ちの方には影響が出る可能性があるため、事前に医師との十分な相談が必要です。 |
詳細はこちら
上下顎オールオン4

| 治療内容 | 全顎インプラント |
|---|---|
| 患者様の年齢 | 70代 |
| 患者様の性別 | 男性 |
| 治療期間 | 3年 |
| 治療 | 10,000,000円 |
| 治療から得られるメリット |
|
| 治療する際に 起こるリスク・ 副作用 |
治療には一定の期間と費用がかかります。 また、手術後には腫れや痛みが生じることがあります。 まれに神経損傷や感染症を引き起こす場合もあります。 インプラント周囲炎の発症や、インプラントの脱落・破損といったリスクも考えられます。 金属アレルギーのある方は注意が必要です。 また、全身疾患をお持ちの方には影響が出る可能性があるため、事前に医師との十分な相談が必要です。 |
詳細はこちら
上下顎オールオン4

| 治療内容 | 全顎インプラント |
|---|---|
| 患者様の年齢 | 20代 |
| 患者様の性別 | 女性 |
| 治療期間 | 3年 |
| 治療 | 10,000,000円 |
| 治療から得られるメリット |
|
| 治療する際に 起こるリスク・ 副作用 |
治療には一定の期間と費用がかかります。 また、手術後には腫れや痛みが生じることがあります。 まれに神経損傷や感染症を引き起こす場合もあります。 インプラント周囲炎の発症や、インプラントの脱落・破損といったリスクも考えられます。 金属アレルギーのある方は注意が必要です。 また、全身疾患をお持ちの方には影響が出る可能性があるため、事前に医師との十分な相談が必要です。 |
詳細はこちら

ご提供 安心と信頼の そのほか

安心の
年保証
患者様にご安心いただくために10年の保証がついています。
*上部構造は含みません。

院内に「歯科技工士」が常駐
歯科医師と一緒に立ち合い理想の色と形に仕上げられる技工士と技工所を設置し質や緊急対応が可能になっています。

睡眠無痛治療で
ストレスの少ない治療
睡眠無痛治療により目が覚めたら治療が終了しています。嘔吐反射がある
方・歯科治療が怖い方も安心して治療が行えます。
All-on-4(オールオン4)の
「デメリット」と「リスク」

「抜歯」の必要性
オールオン4はすでに歯の機能を失っている方向けの治療法です。お口に残る健康な歯も抜歯する必要があります。抜歯をご希望とされない場合はオールオン4以外の治療法をご検討いただきます。

術後の「痛み」や
「痣(あざ)」
オールオン4は外科手術が必要なため、術後の「痛み」や「腫れ」、「痣
(あざ)」が一時的に発生します。術後ケアもきちんとサポートさせていただきますが、個人によってはケア期間が長くなる可能性もございます。
よくある質問
- Q手術後の食事はどうなりますか?
-
A
手術直後はやわらかい食事からはじめていただきますが、最終的な義歯装着後は、ほとんどの食べ物を食べられるようになります。
- Qオールオン4の手術は入院が必要ですか?
-
A
オールオン4は日帰り手術となりますので入院の必要はありません。
- Qオールオン4は医療控除の対象になりますか?
-
A
オールオン4は医療控除の対象となります。
- Q骨が少なくてもオールオン4はできますか?
-
A
インプラントでは骨移植/骨造成が必要なケースもございますが、骨が少ない状態でもオールオン4を行うことができます。
- Qメンテナンスは必要ですか?
-
A
毎日の丁寧な歯磨きと、定期的な歯科医院でのメンテナンス(検診、クリーニングなど)が不可欠です。
症状に合わせ
「ノーベル」
「ストローマン」を採用
-


ノーベルバイオケアは、近代歯科インプラントシステムの開発で世界をリードするスイスのグローバル企業です。1965年にブローネマルク博士が提唱したインプラント治療を基盤に、高品質なインプラント製品と関連ソリューションを提供し、世界中の歯科医療の発展に貢献しています。
-


ストローマンは、スイスに本社を置く歯科医療機器のグローバル企業です。特に歯科インプラント分野では世界トップシェアを誇り、高い品質と豊富な臨床データに裏打ちされた製品を提供しています。最新のデジタル技術も積極的に取り入れ、歯科医療の発展に貢献しています。
治療の流れ

無料相談


資料採得

- レントゲン写真
- 口腔内写真
- 歯型
- 噛み合わせなど

診査・診断
プランニング


手術当日

料金表
全顎(上下) All-on-4
-

ライトプラン( 全顎 )
¥6,600,000
-

スタンダードプラン( 全顎 )
¥8,800,000
-

プレミアムプラン( 全顎 )
¥11,000,000
*治療の部位、上部構造(歯の部分)の素材、追加処置の有無によって価格が変動します。
相談時にご希望を伺った上でお見積もりもお出しします。
上顎もしくは下顎
All-on-4
-

ライトプラン( 全顎 )
¥4,400,000
-

スタンダードプラン( 全顎 )
¥5,500,000
-

プレミアムプラン( 全顎 )
¥6,600,000
*治療の部位、上部構造(歯の部分)の素材、追加処置の有無によって価格が変動します。
相談時にご希望を伺った上でお見積もりもお出しします。
- お支払い方法について
-
現金以外に各種クレジットカード・デンタルローンに対応




セカンドオピニオン
今通院されている歯科医院様から進められている治療について
「本当にこの治療法で良いのだろうか?」
「他に選択肢はないのだろうか?」
といった疑問や不安を抱えていらっしゃるかもしれません。
あなた自身の歯とお口の健康を真剣に考えているからこそ
生まれる当然のお気持ちです。
セカンドオピニオンとして、ご相談もお待ちしております。











